Ein 4-jähriger Jagdgebrauchshund wurde unserem Notdienst am Tag eines traumatischen Wildschweinangriffs vorgestellt. Trotz Schutzausrüstung erlitt der Patient eine totale Avulsion des Caninus, der lediglich noch durch ein schmales Gingivasegment fixiert war.

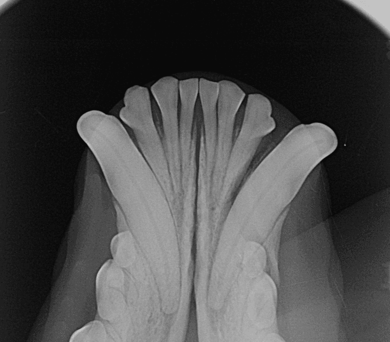
Die unter Sedierung angefertigten Röntgenaufnahmen bestätigten die vollständige Avulsion sowie eine begleitende Alveolarfraktur. Da das Desmodont (Parodontalligament) als vital beurteilt wurde, bestand eine klare Indikation zur Replantation dieses funktionell relevanten Arbeitszahns.
Die Repositionierung in die frakturierte Alveole erfolgte unter Allgemeinanästhesie, gefolgt von einer adhäsiven Schienung mittels Acrylharz an die benachbarten Zähne. Die klinische Rationale war eindeutig: Unmittelbare Stabilisierung zur Förderung der parodontalen Revaskularisation und der ossären Heilung. Die postoperativen Anweisungen umfassten ausschliesslich Weichkost, den strikten Verzicht auf Kauobjekte sowie wöchentliche klinische Kontrollen.
Vier Wochen später konnte die Schiene komplikationslos entfernt werden. Radiologisch zeigte sich eine gute knöcherne Konsolidierung bei stabiler Verankerung. Zur Vermeidung von Komplikationen durch die nekrotische Pulpa wurde eine Wurzelkanalbehandlung durchgeführt, um den langfristigen Funktionserhalt zu sichern. Der Hund ist wieder voll im Jagdeinsatz; eine radiologische Verlaufskontrolle der Endodontie ist in sechs Monaten geplant.


Klinische Schlussfolgerung:
Totale Avulsionen mit Alveolarfraktur bieten gute Aussichten auf Zahnerhalt, sofern die Replantation am selben Tag erfolgt. Während Röntgenbilder die Machbarkeit klären, ist die Zeitspanne bis zur Replantation entscheidend für den Revaskularisationserfolg. Bei dentalen Notfällen von Gebrauchshunden sollte eine umgehende Repositionierung mit anschliessender Überweisung zur endodontischen Versorgung erfolgen – der Funktionserhalt ist hier zwingend geboten.